Surprise me
Search
Recent Cases
Top Cases of All Time
bubonic plague yersinia pestis septicemia
by phillip tirman, md ( 3.64 )
melorheostosis (rid34660)
by bjoern jobke, md ( 3.62 )
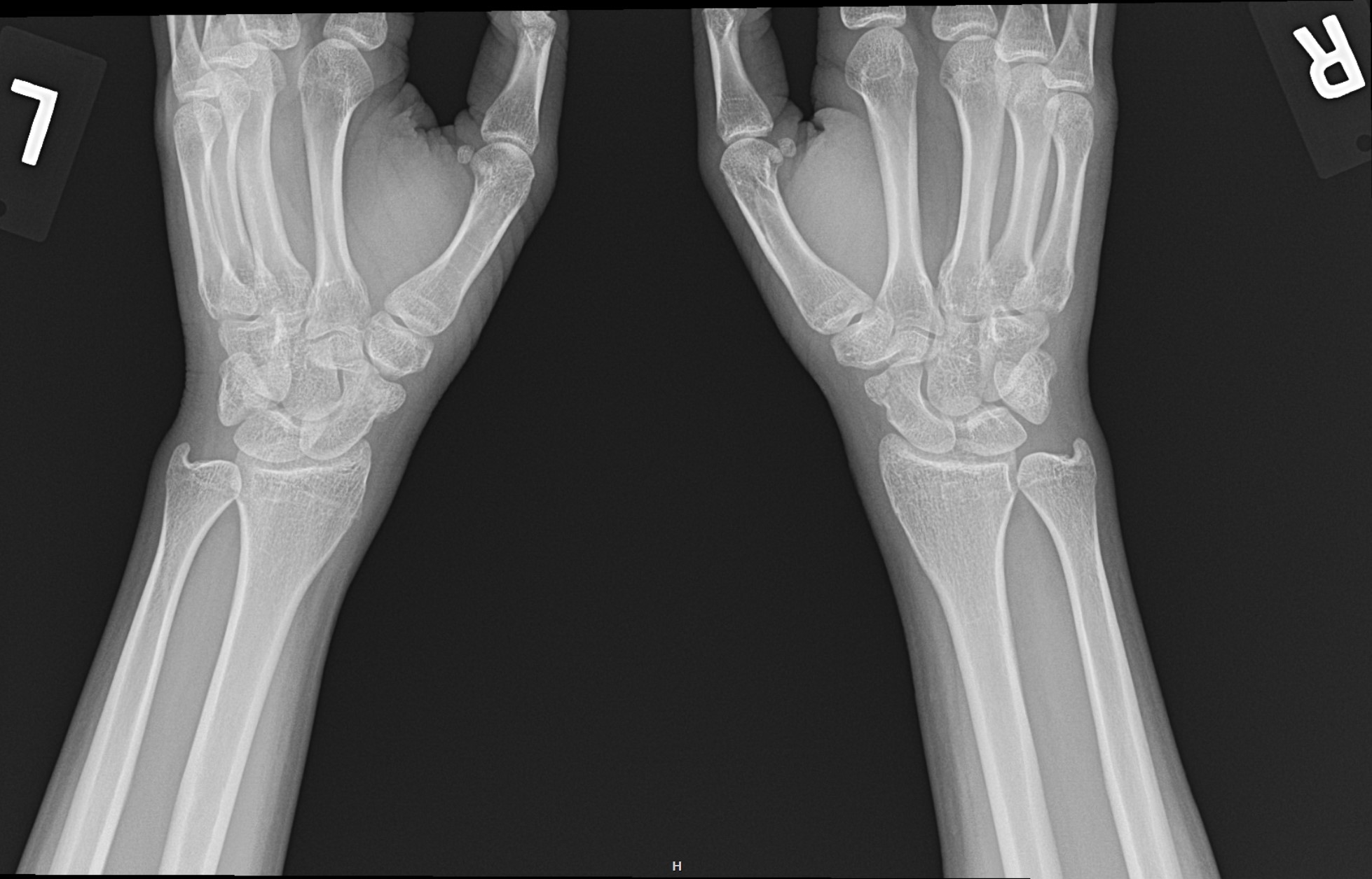
lunotriquetral coalition and fracture
by avneesh chhabra, md ( 3.6 )
hibernoma
by ciro duarte, md ( 3.58 )
pigmented villonodular synovitis ( rid3641 )
by luis cerezal, md ( 3.57 )
scapulothoracic dislocation
by phillip tirman, md ( 3.55 )
coccidioidomycosis arthritis
by mauricio de la lama, md ( 3.55 )
benign fibrous histiocytoma
by kyung jin suh md phd ( 3.5 )
unknown
by ramya srinivasan, md ( 3.5 )
ischiofemoral impingement
by kelly lindauer, md ( 3.5 )
Random Cases
extensor pollicis longus tendon ( rid2378 )
fibular sesamoid of metatarsal head ( rid2990 ...
baxters neuropathy
bilateral accessory piriformis muscles
extensor digitorum longus and peroneus tertiu ...
complex baker cyst ( rid3892 )
psoriatic arthritis ( rid3554 )
lipoma arborescens
slap lesion with labral cyst and suprascapula ...
extensor digitorum communis tendons ( rid2379 ...
posterior cruciate ligament ( rid2784 )
adenocarcinoma lung metastasis
About
xrayhead MSK Cases is a collection of Stanford and OCAD. For more cases, join OCAD!
Phillip Tirman MD
Hilary Umans MD
Avneesh Chhabra MD
Kyung Jin Suh MD PhD
Bao Do MD