OCAD MSK

History

Medial pain. R/O MPFL tear

Figure 1 for case Unstable flap tear medial meniscus
Figure 1
Figure 2 for case Unstable flap tear medial meniscus
Figure 2
Figure 3 for case Unstable flap tear medial meniscus
Figure 3
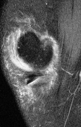
Figure 4 for case Unstable flap tear medial meniscus
Figure 4
Figure 5 for case Unstable flap tear medial meniscus
Figure 5

Discussion

With a displaced flap into the coronary recess. No sign of patellar dislocation. PD fat sat shows the inflammatory change that often accompanies and unstable tear. Displacement of meniscal tissue=instability.

Diagnosis

Unstable flap tear medial meniscus

Phillip Tirman, MD
Courtesy