OCAD MSK

History

Pain

Figure 1 for case fibrous dysplasia ( RID3738 )
Figure 1
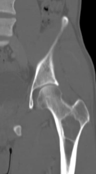
Figure 2 for case fibrous dysplasia ( RID3738 )
Figure 2
Figure 3 for case fibrous dysplasia ( RID3738 )
Figure 3
Figure 4 for case fibrous dysplasia ( RID3738 )
Figure 4

Discussion

Diagnosis

fibrous dysplasia ( RID3738 )

Kyung Jin Suh, MD PhD
Courtesy