OCAD MSK

History

Soccer injury

Figure 1 for case Cortical desmoid
Figure 1
Figure 2 for case Cortical desmoid
Figure 2
Figure 3 for case Cortical desmoid
Figure 3
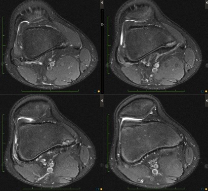
Figure 4 for case Cortical desmoid
Figure 4

Discussion

Diagnosis

Cortical desmoid

Frank Crnkovich, MD PhD
Courtesy