OCAD MSK

History

Pain

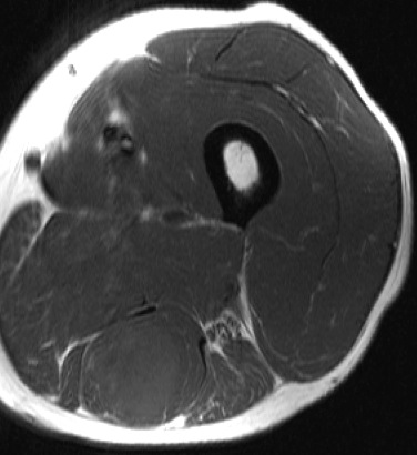
Figure 1 for case Adenocarcinoma lung metastasis
Figure 1
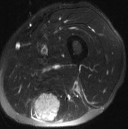
Figure 2 for case Adenocarcinoma lung metastasis
Figure 2
Figure 3 for case Adenocarcinoma lung metastasis
Figure 3
Figure 4 for case Adenocarcinoma lung metastasis
Figure 4
Figure 5 for case Adenocarcinoma lung metastasis
Figure 5

Discussion

Diagnosis

Adenocarcinoma lung metastasis

Kyung Jin Suh, MD PhD
Courtesy