OCAD MSK

History

Post radiation due to met 2 yrs ago

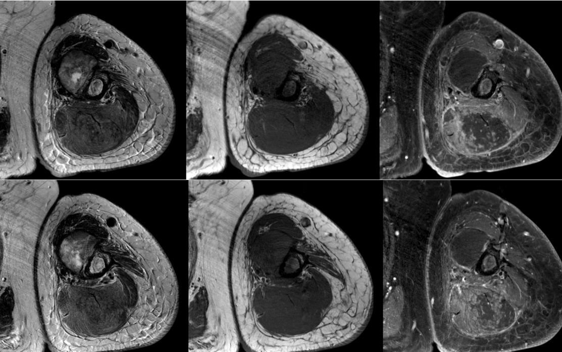
Figure 1 for case Radiation induced myonecrosis
Figure 1
Figure 2 for case Radiation induced myonecrosis
Figure 2
Figure 3 for case Radiation induced myonecrosis
Figure 3

Discussion

Radiation-induced Myonecrosis results from vascular insufficiency from proliferation of collagen resulting in ischemia within 10 months of exposure. RTx dose: over 60-65 Gy. Use of concurrent chemotherapy along with radiation increases the risk of both acute and delayed radiation related side effects. Gemcitabine, Paclitaxel.

Diagnosis

Radiation induced myonecrosis

Kyung Jin Suh, MD PhD
Courtesy