OCAD MSK

History

Knee pain and instability after injury. Previous ACL reconstruction

Figure 1 for case Disrupted ACL graft
Figure 1
Figure 2 for case Disrupted ACL graft
Figure 2
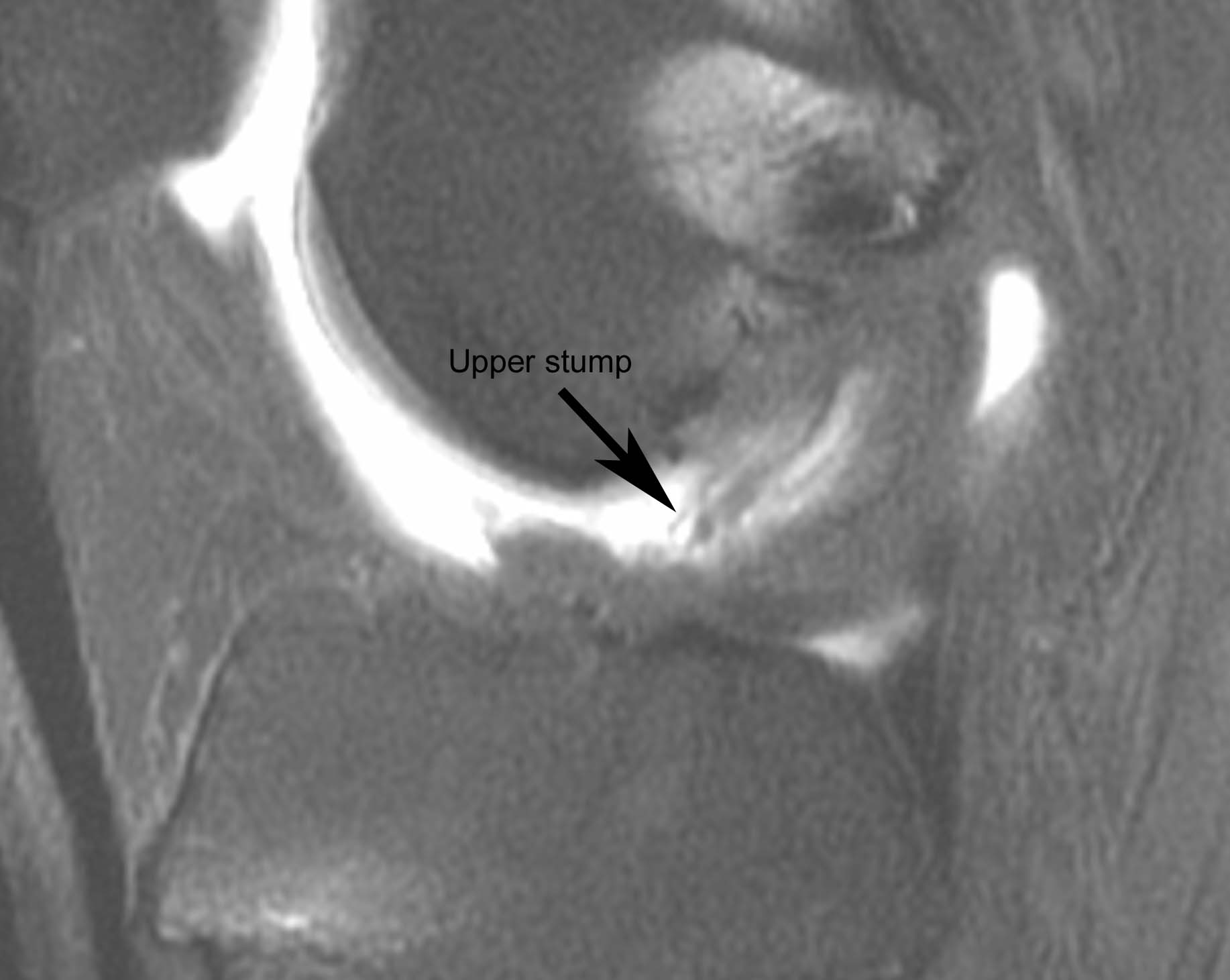
Figure 3 for case Disrupted ACL graft
Figure 3
Figure 4 for case Disrupted ACL graft
Figure 4
Figure 5 for case Disrupted ACL graft
Figure 5

Discussion

Nice depiction of torn fibers at tibial tunnel with MR arthrography

Diagnosis

Disrupted ACL graft

Andy Sonin, MD
Courtesy