OCAD MSK

History

Knee injections

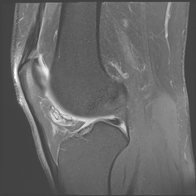
Figure 1 for case Orthovisc injections
Figure 1
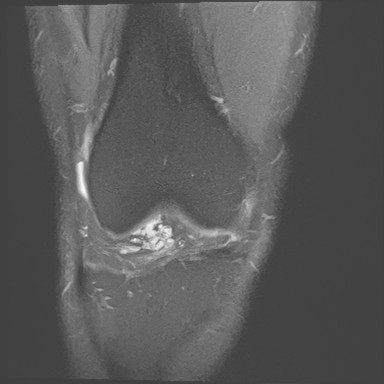
Figure 2 for case Orthovisc injections
Figure 2
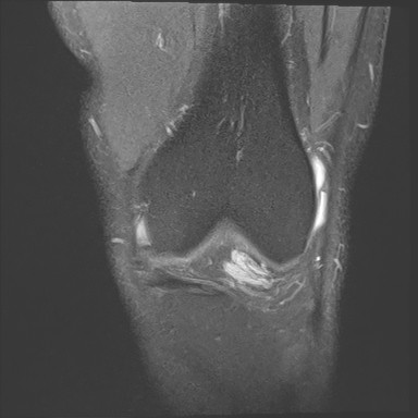
Figure 3 for case Orthovisc injections
Figure 3
Figure 4 for case Orthovisc injections
Figure 4

Discussion

Orthovisc injection in Hoffas fat.

Diagnosis

Orthovisc injections

Philip Tirman, MD
Courtesy