25F 10d after fall with fibular fracture
-1.jpg)
-2.jpg)
-3.jpg)
-4.jpg)
-5.jpg)
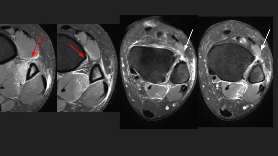
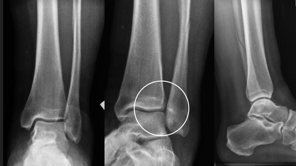
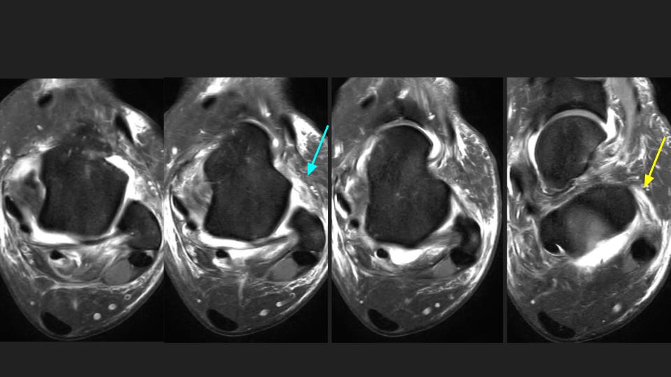
There is non displaced distal fibular shaft fx (see XR). There is a partial tear of the interosseous membrane (red arrows). There is complete AITFL rupture (white arrows). Gr I sprain of the PITFL and Laciniate ligaments. I think there is double band morphology of the ATFL, with a complete tear of one band and the other band intact (blue arrow). There is partial tear of the CFL (yellow arrow)...generally the CFL tears after the ATFL. The key point is that there should ALWAYS be overlap of the distal tibial and fibula in the Oblique or Mortise view...in this Obl view there is none. Syndesmotic Complex injury should have been suspected on the basis of the XR findings.
syndesmosis ( RID6088 )