OCAD MSK

History

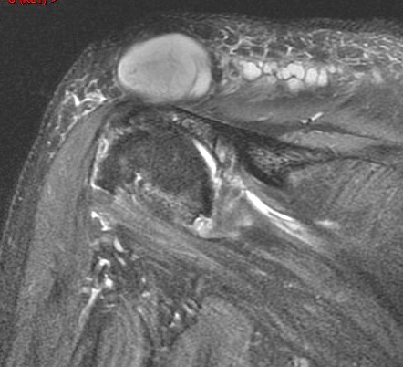
82 y/o with shoulder mass

Figure 1 for case Geyser phenomenon
Figure 1
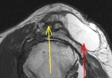
Figure 2 for case Geyser phenomenon
Figure 2
Figure 3 for case Geyser phenomenon
Figure 3
Figure 4 for case Geyser phenomenon
Figure 4
Figure 5 for case Geyser phenomenon
Figure 5
Figure 6 for case Geyser phenomenon
Figure 6

Discussion

Large cyst arising from the AC joint in the setting of a chronic rotator cuff tear. Reference article.

Diagnosis

Geyser phenomenon

Phillip Tirman MD
Courtesy