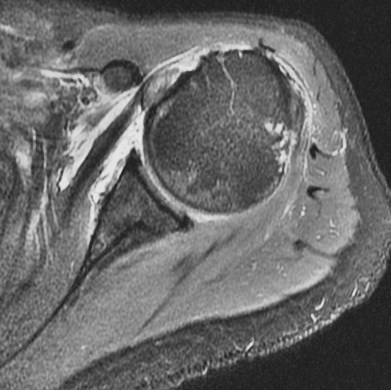
75 y/o s/p dislocation






Dislocation pathology is typically different in older patients than younger patients. The great majority of first time dislocators under the age of 40 suffer a bankart lesion (avulsion of the labral ligamentous complex on the glenoid side). Older folks often suffer a rotator cuff tear including the supraspinatus or subscapularis (or both). This patient had an SST tear but in addition also has a HAGL lesion (humeral avulsion of the glenohumeral (IGHL) ligament). She also has subscapularis partial tearing associated with a near complete dislocation of the biceps (findings that I think were preexisting). Reference article.
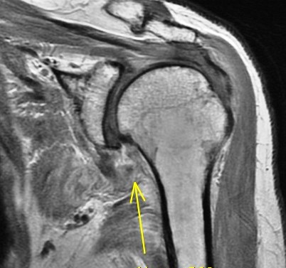
HAGL lesion and rotator cuff tears