OCAD MSK

History

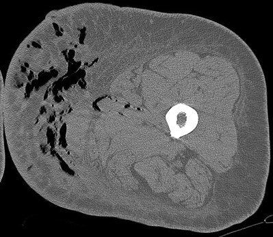
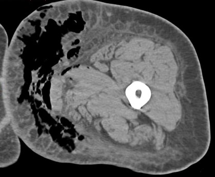
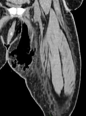
46 yoF history of small abscess in upper thigh which worsened quickly.

Figure 1 for case Necrotizing fasciitis ( RID3447 )
Figure 1
Figure 2 for case Necrotizing fasciitis ( RID3447 )
Figure 2
Figure 3 for case Necrotizing fasciitis ( RID3447 )
Figure 3
Figure 4 for case Necrotizing fasciitis ( RID3447 )
Figure 4
Figure 5 for case Necrotizing fasciitis ( RID3447 )
Figure 5

Discussion

The soft tissue air is essentially pathognomic. Reference article.

Diagnosis

Necrotizing fasciitis ( RID3447 )

Phillip Tirman MD
Courtesy