35M 5 months pain, referred to evaluate the scapholunate ligament
-1.jpg)
-2.jpg)
-3.jpg)
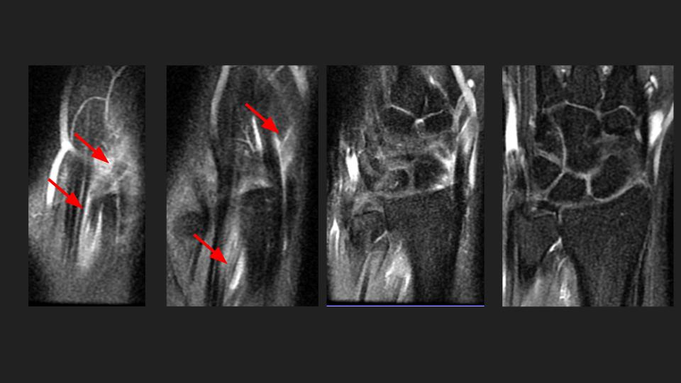
Red arrows point to the EPL which appears partially torn proximal to the level of Listers tubercle. On MRI (I wish this were US, I hear you) the distal remnant at the site of intersection with the 1st extensor compartment looks quite attenuated, but I see something passing over ECRL/ECRB with fluid signal between. Is this a complication of neglected proximal intersection syndrome? I have never seen it progress to EPL tear, but apparently there are Italian radiologists (see attached abstract) who have. Reference article.
extensor pollicis longus tendon ( RID2378 )