OCAD MSK

History

15 y/o F soccer injury lateral pain. r/o lateral meniscus.

Figure 1 for case Unstable displaced lateral meniscus flap tear( RID2763 )
Figure 1
Figure 2 for case Unstable displaced lateral meniscus flap tear( RID2763 )
Figure 2
Figure 3 for case Unstable displaced lateral meniscus flap tear( RID2763 )
Figure 3
Figure 4 for case Unstable displaced lateral meniscus flap tear( RID2763 )
Figure 4
Figure 5 for case Unstable displaced lateral meniscus flap tear( RID2763 )
Figure 5
Figure 6 for case Unstable displaced lateral meniscus flap tear( RID2763 )
Figure 6

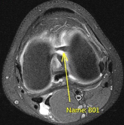
Discussion

The flap is folded and displaced into the notch.

Diagnosis

Unstable displaced lateral meniscus flap tear( RID2763 )

Phillip Tirman MD
Courtesy