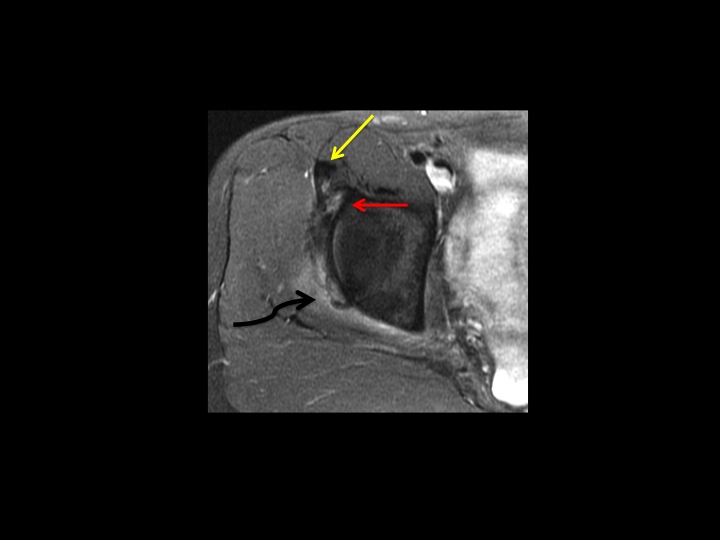
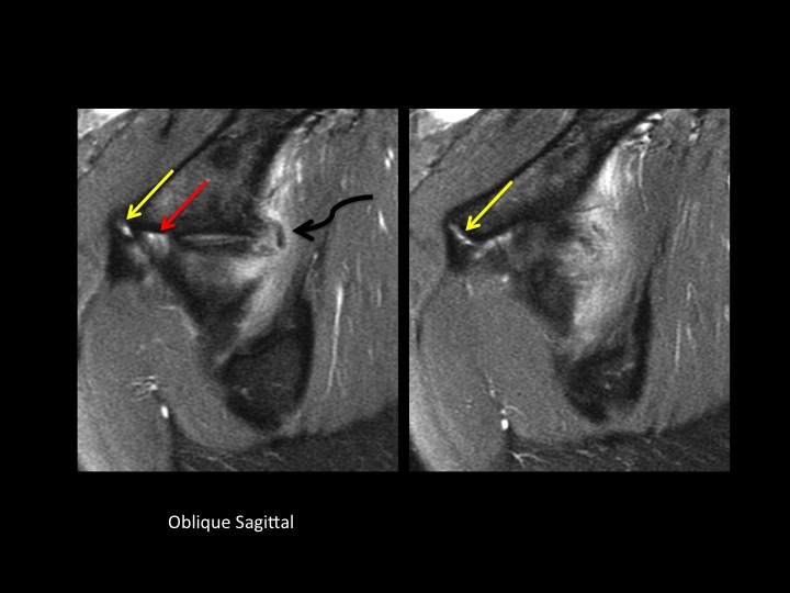
26F dancer with acute injury and hip pain
-1.jpg)
-2.jpg)
-3.jpg)
-4.jpg)
Yellow and Red arrows indicate partial tears at the origin of the direct and indirect head of the rectus femoris, respectively. The white arrowheads show acetabular stripping of the indirect head and iliofemoral ligament. I presume, due to the acuity of injury, that the dark amorphous signal (curved black arrow) is hemorrhage....but can I know that with certainty without either XR or US? I often have difficulty, particularly in shoulder, when I think there might be punctate calcific deposits that are unlikely to be visible by XR: would you recommend US in all such cases? (and, btw, I dont think the labrum is normal, but doubt thats her main problem...I suspect this will all heal with rest)
rectus femoris muscle ( RID2698 )